A new perspective on ICE
Account director Paul Cameron discusses how Clinisys’ order communications system and diagnostic data sharing vision can help NHS clinicians and patients – like himself.

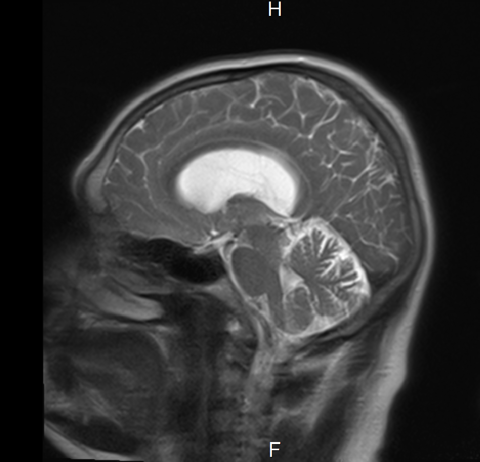
I shared the picture above at the Digital Health Rewired conference a couple of years ago. I know what you’re thinking: it’s a head. It’s a brain. With a bright point that shouldn’t be there. In fact, it’s my head, and my brain, and the bright spot is a colloid cyst.
A colloid cyst called Liszt
This benign brain tumour, which I call Liszt, was discovered a few years ago as an incidental finding on an MRI scan. It has very little impact on my life, but that could change. So, I need an annual check-up with a consultant, and there are some symptoms that I need to look out for, like forgetfulness, dizzy spells, headaches, and slurred speech.
If I get any of those symptoms, I need to get to a GP or an A&E unit and get them to send me for an emergency MRI. To do that, they’ll need access to my medical history and test results, so I don’t have to go through four or five rounds of tests and diagnosis first.
Living and working all over the UK
This is the point at which I started thinking about my day job. In the course of my life, I have lived in a lot of different places, from the south coast of England to London, and from Glasgow to the North East of England. I’ve had a lot of different GPs and they’ve worked with a lot of different hospitals.
Traditionally, none of these
The Clinisys Integrated Clinical Environment, or ICE, enables GPs and hospital wards and departments to order all kinds of tests and to receive the results electronically. It’s in widespread use – around 75% of GPs and 120 trusts and health boards use ICE to order and report tests for more than 40 million patients a year.
ICE is also developing all the time. The latest version supports positive patient identification, so phlebotomists can run through a checklist or scan a wristband to make sure they are linking the right patient with the right test, and a sample manager, to help them pick the right specimen tube.
In itself, though, ICE doesn’t solve my information sharing problem. One instance of ICE can’t share data with another instance of ICE. Unless, that is, those different instances are linked using ICE OpenNet.
Opening up diagnostic data
ICE OpenNet allows separate ICE systems to communicate using internal web services. This means clinicians can use their own ICE system to pull reports from other trusts or laboratory providers, and view patient results located on other ICE systems alongside their own.
It’s very popular with clinicians, because it lets them see whether a test they might be thinking of ordering has been conducted, and what the results were. Like ICE itself, ICE OpenNet is developing. The latest version comes with demand management, which alerts clinicians to the presence of recent, relevant results, to cut unnecessary repeat testing and help them get to a diagnosis faster.
An updated ICE OpenNet connection can also be used to feed an ICE Diagnostic Hub. This doesn’t just cover pathology; it’s designed to capture results from different diagnostic disciplines, including radiology, cardiology and endoscopy and provide a holistic view of the patient to all ordering systems.
The ICE Diagnostic Hub can be used to create a region-wide view of a patient and to support new models of integrated care. In the North East, where I live now, Clinisys is working with the local shared care record to make sure that users have access to diagnostic data alongside information from local GP, hospital and social care providers.
My vision: a spine of ICE Diagnostic Hubs
It’s a great initiative, and one on which we’re working with vendors that we might regard as competitors. But it still doesn’t quite solve my issue – because shared care records don’t share care information with each other. There’s a national project getting underway to link them all up, but it will be a big job, because they have all been developed at different times and on different platforms.
So, my vision is for a line of ICE Diagnostic Hubs down the spine of the country, each one of which is linked to the next. That way, clinicians would be able to access results from neighbouring areas, and across the country. Coming back to my colloid cyst, this would mean that a GP or hospital or hospital in any of the cities in which I have lived would have access to all of my diagnostic data.
Or to look at it another way, if I got some of those troubling symptoms while I was speaking at next year’s Rewired, which is going to be in Birmingham, the city’s A&E would have access to the medical information it needed to support me.
There’s no reason to think Liszt will ever be anything more than an interesting spot on a scan. Something to pop onto a PowerPoint, to show how ICE and ICE OpenNet have transformed the process of ordering, reporting and sharing tests. And to show how creative use of the ICE Diagnostic Hub could transform healthcare further still.
Related content
Clinisys ICE is the UK market leading order communications solution
Installed in over 120 NHS Trusts, Clinisys ICE covers primary, secondary and community care for multiple diagnostic specialties – Pathology, Radiology, Cardiology, and Endoscopy.
Integrated, digitally supported care: the role of order communications
Integrated care systems are tasked with joining up health and care. Making sure that tests can be ordered digitally and that results can be shared between sites and care teams is an important element of their agenda.
Pathology service deploys ICE sample collection module
The pathology service at The Princess Alexandra Hospital NHS Trust has introduced the CliniSys | MIPS ICE sample collection module to improve efficiency and experiences for their patients and staff.
